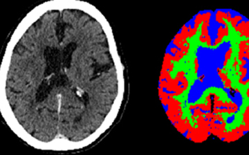
Científicos de la Universidad Politécnica de Madrid, junto con varios centros colaboradores, han conseguido convertir simples escáneres de tomografía computarizada (TAC) en imágenes tan potentes como las de una resonancia magnética, utilizando inteligencia artificial. Este logro abre nuevas vías para investigar la enfermedad de Alzheimer en personas con síndrome de Down.
Investigadores de la Universidad Politécnica de Madrid ha formado parte de un equipo internacional que ha demostrado que la resina, un producto tradicionalmente secundario en los pinares, puede proporcionar una rentabilidad igual o superior a la de la madera en determinadas condiciones.