Cómo saber si un tratamiento para cáncer de pulmón es efectivo o no, a través de un biomarcador
Un estudio desarrollado por investigadores de la Universidad Politécnica de Madrid y del CIBER busca predecir el beneficio clínico duradero de la inmunoterapia. Saber si un tratamiento está funcionando o no, a través de un biomarcador, es fundamental para controlar el tiempo del tratamiento.
17.04.23
Ajustar la aplicación temporal de un tratamiento a un paciente es crucial para su recuperación. Saber si, por ejemplo, un tratamiento de inmunoterapia debería prolongarse o acortarse en función de si está siendo o no efectivo, es un avance enorme en el ámbito científico. La fatiga, la fiebre, los escalofríos, la debilidad, las náuseas, vómitos, mareos, dolores corporales y la presión arterial alta o baja son posibles efectos secundarios de la inmunoterapia.
La selección de un tratamiento eficaz y la evaluación adecuada del beneficio clínico son importantes para gestionar mejor a los pacientes con cáncer con una supervivencia prolongada y preservar la calidad de vida. Los tratamientos de cáncer suelen ser eficaces, pero también tienen un impacto significativo en los pacientes, en varios ámbitos.
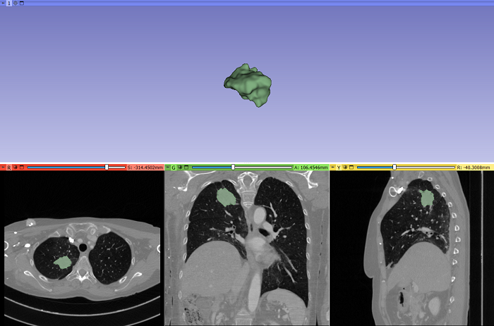
Gracias a este estudio, se ha identificado un biomarcador no invasivo para predecir el beneficio clínico duradero de la inmunoterapia, basado en la integración de datos radiómicos y clínicos monitorizados, durante los primeros meses de tratamiento con anticuerpos monoclonales anti-PD-1/PD-L1, en pacientes con cáncer de pulmón no microcítico avanzado.
Según Mª Jesús Ledesma, investigadora de la Universidad Politécnica de Madrid, del CIBER-BBN y líder de este trabajo, “este estudio ha supuesto un avance significativo en la predicción y monitoreo de la respuesta a la inmunoterapia utilizando inteligencia artificial multimodal, a partir de datos no invasivos del inicio del tratamiento”.
Por otro lado, Benito Farina, primer autor del trabajo, resalta que “gracias a esta investigación, la vida y la salud de los pacientes con cáncer de pulmón avanzado podría mejorar determinando a tiempo, y de manera objetiva, la eficacia del tratamiento, evitando toxicidades, costes y facilitando la aplicación de tratamientos alternativos”.

Cómo saber si un tratamiento para cáncer de pulmón es efectivo
La identificación de biomarcadores predictivos no invasivos de la respuesta a la inmunoterapia es crucial para evitar interrupciones prematuras del tratamiento o prolongaciones ineficaces. Un biomarcador se utiliza a veces para determinar la respuesta del cuerpo a un tratamiento para una enfermedad o afección.
La inmunoterapia permite ayudar al sistema inmunitario de los pacientes a que haga su función contra las células tumorales, mediante la administración de fármacos que permiten desactivar los mecanismos de evasión que desarrollan las células cancerígenas. Se realiza así, con fines curativos o preventivos.
La inmunoterapia se ha convertido en uno de los tratamientos de referencia del cáncer de pulmón avanzado no microcítico, con tasas de respuesta prometedoras, enfermedad que sigue presentándose con una frecuencia alta. La predicción de la eficacia de la respuesta al tratamiento antes y durante el tratamiento, sigue siendo crítica para el manejo personalizado de los pacientes.
La investigación es fruto de la cooperación de equipos de tres áreas del CIBER (Centro de Investigación Biomédica en Red): Bioingeniería, Biomateriales y Nanomedicina (CIBER-BBN), Enfermedades Respiratorias (CIBERES) y por último, Cáncer (CIBERONC), así como de los hospitales Fundación Jiménez Díaz y Clínica Universidad de Navarra.
El estudio ha sido financiado por el Ministerio de Ciencia e Innovación, el Instituto de Salud Carlos III, la Fundación BBVA y los fondos FEDER y Next Generation de la Unión Europea. Las técnicas desarrolladas en esta investigación están siendo optimizadas para su utilización en el proyecto multicéntrico nacional de medicina personalizada INGENIO, liderado por CIBERONC.
Farina, B., Guerra, A.D.R., Bermejo-Peláez, D. et al. Integration of longitudinal deep-radiomics and clinical data improves the prediction of durable benefits to anti-PD-1/PD-L1 immunotherapy in advanced NSCLC patients. J Transl Med 21, 174 (2023). https://doi.org/10.1186/s12967-023-04004-x.
